Louis Staples
Mar 10, 2020
Coronavirus is continuing to make its way across the world.
Italy is on lockdown and the sixth person has died in the UK. Both president Trump and Boris Johnson are facing criticism for their responses to the virus.
We’ve heard a lot about the symptoms (fever, cough or trouble breathing) and how to give yourself the best chance of avoiding it (being very clean and self-isolating). But what does it actually do to your body?
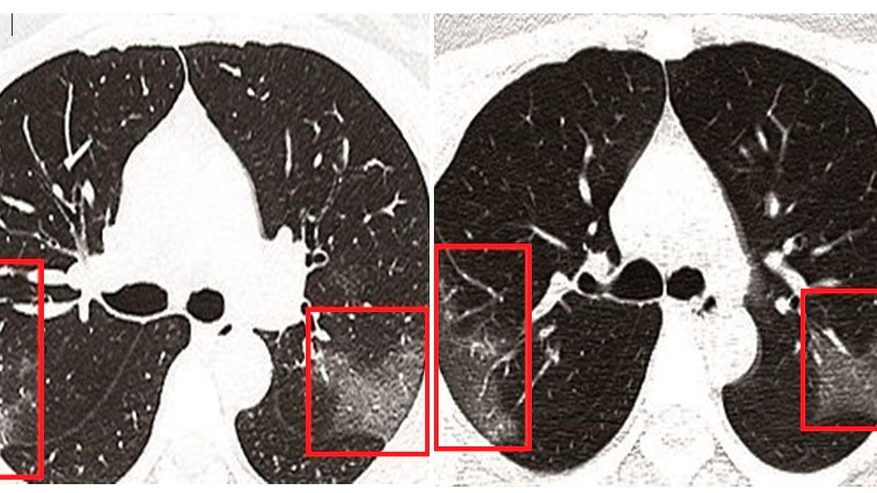
These shocking X-ray scans of 33 year-old coronavirus sufferer shows the effect that the virus can have on human lungs.
After arriving in hospital in China, the woman was quickly diagnosed with Covid-19. Her X-ray scans show white patches in the lower corners of the lungs which indicates what radiologists call “ground glass opacity” – the partial filling of air spaces in the lungs. The white patches appear more pronounced in the second X-ray, on the right, which was taken three days after the first and further into her treatment.
A small proportion of patients develop severe infections which can damage the lungs or cause pneumonia, a condition which causes swelling and fluid build-up in the lungs. Some people who catch coronavirus may not have any symptoms at all, or very mild ones such as a sore throat or a headache.
But it just goes to show how extreme the deadly virus can be. It has spawned thousands of memes, but clearly it’s no laughing matter.
The woman was treated by inhaling a protein used to treat viral infections. Thankfully she made a full recovery.
H/T: MailOnline
Top 100
The Conversation (0)














